ホワイトニング日本一受賞
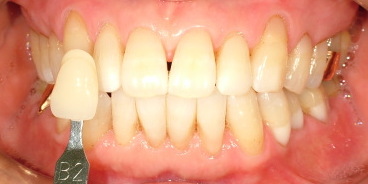
ビヨンドシステムによるオフィスホワイトニングできとう歯科医院が日本一を受賞しました。
シェ モリヤのオーナーシェフである守屋さんのホワイトニングをきとう歯科医院のホワイトニングコーディネータである
袴田育代が担当して優勝しました。
シェ モリヤにて守屋さんと袴田と鉄人坂井シェフ
六本木ヒルズでの表彰式に出た袴田
ホワイトニングの第一人者である北原先生と
フリーランスで活躍されている土屋和子先生と
北原先生から表彰される袴田育代
シェフへ表彰状と32型液晶テレビを
じっくりと表彰の喜びを
感じている守屋さん
after
befor
